6900 E US Highway 60
Suite 110
Gold Canyon, AZ 85118

Smile Gallery

The image shows a person with an open mouth displaying a set of teeth with significant discoloration, particularly yellow staining, which may indicate poor oral hygiene or dental issues.

Before

The image shows a person with a wide smile displaying a set of straight white teeth, with only the lower half of their face visible from the nose down.

After

The image displays two views of an open mouth with teeth showing varying degrees of discoloration and decay, suggesting poor oral hygiene or dental health issues.

Before

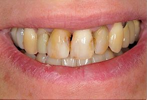
The image shows a close-up view of a person s teeth with yellowing and staining, indicating poor oral hygiene.

After

The image shows a close-up of a person s face with a smile, displaying teeth with dental implants at the front.

Before

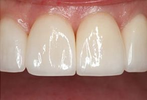
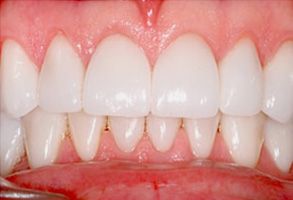
The image shows a close-up view of a person s mouth with white teeth, smiling at the camera.

After

The image shows a close-up view of a person s teeth with a focus on a large gap between the front teeth, which are being held together by dental braces.

Before

The image shows a close-up view of a person s teeth with a focus on a large, white filling and a red gum line.

After

The image shows two close-up photographs of a person s teeth with significant tooth decay, displayed side by side.

Before

The image shows a close-up of a person s teeth with an exaggerated smile, highlighting their very white and well-maintained appearance.

After

The image shows a close-up view of a person s teeth with a focus on a dental implant, highlighting the contrast between natural and artificial tooth surfaces.

Before

The image shows a close-up view of a person s teeth with a focus on a large gap between two front teeth, which appears to be a dental issue that may require attention.

After

The image shows a close-up view of an individual s mouth with yellowed teeth and a metal bar across the front, likely a retainer or brace.

Before

The image shows a close-up view of a person s teeth with an emphasis on a crooked front tooth, which appears to be the focus of the image.

After